原本医院消化内科的医生平日里就要见识各种被一不小心误吞进去的东西,想必应该说是见怪不怪了。但是近日浙大一院的一名病人所吞进去的东西,还真是让医生吓了一跳,而且这个病人还并不是误吞,而是自己吞下去的,这是怎么回事呢?
近日,杭州一名22岁的男大学生小柯在前几天半夜时候跑到浙大一院急诊科,急忙告诉医生,他刚吃了一条金项链下去,自己非常害怕吞金会出事,希望医生能够帮他。吃金项链这个操作,还真是吓了小编一条,这金项链吞进去难道不回噎喉咙吗?但是消化内科的医生却十分淡定,仔细地询问小柯是什么时候吃下去的,有什么症状?

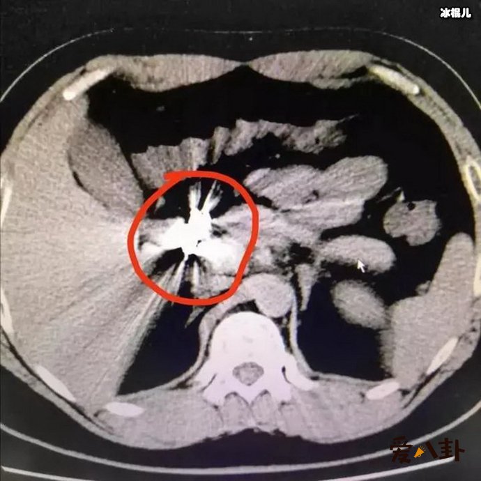
杭州一男生赌气吃一条金项链
但是小柯的回答让医生也吓了一跳,他回答称:因为自己与女朋友吵架,在吃金项链之前,还赌气吃了200颗的褪黑素下去。这可让医生吓了一跳,马上安排给小柯做相关的检查,发现金项链已经到了肠子里了,而小柯也没有什么不舒服的地方。因此,医生表示金项链会随着大便一起排出,建议小柯在回家排便的时候注意看一下金项链有没有排出。

还检查出其他东西让医生崩溃
很多网友对此也纷纷表示,现在的年轻人吵个架起来真是不得了,还表演“吞金”?这样子是真的很容易闹出意外,这次小柯没什么事也算是他的幸运了。医生还表示,其实这并不是少见了,此前有一些想要自杀的患者还吞食过打火机、硬币、玉佩等诸如此类的东西,小柯的金项链与这些一比,还真的是小儿科了。
在消化内科还有各种被误吞的奇奇怪怪的东西,所以医生也非常崩溃地呼吁大家真的要好好吃“东西”啊!
想跟美女Sashimi一起玩,想知道最新资讯与赛程,敬请锁定EV扑克官网(www.evp86.com)。看牌手痒玩EV扑克,每日多场免费赛奖励高达20w,现在注册EV扑克(evp86.com)额外加赠8张幸运赛门票最高奖励1500倍 ! 立即注册加入EV扑克与全球玩家一起同乐。
EV扑克|EV扑克官网|EV扑克下载|EV扑克电脑版|EV扑克娱乐场|EV扑克小游戏——EV扑克导航(www.evpks.com)
EV扑克|EV扑克官网|EV扑克娱乐场|EV扑克保险|EV扑克娱乐场|EV扑克游戏网址发布页——EV扑克下载(www.evp86.com)
EV扑克小游戏|EV扑克小游戏官网|EV扑克小游戏下载——EV扑克小游戏(www.evpkgames.com)
EV扑克电脑版网址:www.evpk88.com
EV扑克GG官方:www.evpk68.com
EV扑克官网:www.evpukes.com
EV扑克娱乐场 https://www.evpkcasino.com
GG扑克小游戏 https://www.ggpkcasino.com




